心雑音により発見された猫の肥大型心筋症(HCM)(ここをクリック)
ゆじ動物病院がお届けする症例紹介・CT機器・眼科手術レポート紹介。心雑音により発見された猫の肥大型心筋症(HCM)(ここをクリック) (2015-12-19)について
--ゆじ動物病院-- 症例紹介・CT機器・眼科手術レポート
2015/12/19 掲載!
猫の肥大型心筋症(HCM)について
・猫の肥大型心筋症(HCM)とは
心臓(左室・右室)の筋肉の異常な肥大と筋肉の柔軟性が低下することで心臓機能が障害される病気です。
・好発猫種
アメリカン・ショートヘア、メイン・クーン、ペルシャ、ノルウェージャン・フォレスト・キャット、バーミーズ、スフィンクス、ラグドールなどの純血種において好発性が認められるが、その他の猫種やミックスにおいても多くの発生が認められています。
(※メイン・クーンの9.5%がHCMと診断されたとする報告もあります。)
・症状
無症状で発見されることが多いが、開口呼吸や努力性呼吸、歩き方の変化、肢の末端が冷たい、高所より降りる音が大きいなどが見られることもあります。
・視診、触診
股動脈の脈診、粘膜や爪の色、皮膚の温度や直腸温、皮膚つまみ試験(脱水の有無)などを診ます。
・聴診
心雑音、リズムの変化、粗い肺音などが聴かれることがあります。
・検査
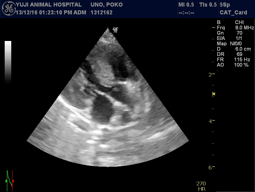
心エコー検査:
この病気の診断において最も重要な検査です。
心臓の筋肉が厚くなっていないかを計測し、内腔(LVIDd)が狭くなっていないかも計測します。また収縮機能の亢進(FSの上昇)や、カラードプラにより拡張機能の障害(E派の上昇)も診断します。弁(心臓の部屋と部屋の扉)が引っ張られたり、逆流がおきていないか(SAM)も同時に確認します。
レントゲン検査:
心房(心臓の上の部屋)の拡大があればハート型に見られることがあります。
進行すると心臓にうっ血が起こり肺に変化が見られたり、胸の中(肺の外側)に水(胸水)が貯まることがあります。
心電図検査:
心拍数が速くなっていないか(1分間に240回以上)、不整脈がないか(上室期外収縮、心
室期外収縮)をチェックします。
血圧:
正常であることが多いが、全身に血液を送る通り道が狭くなっている(左室流出路狭窄)
と血圧が下がることがあります。
また全身性高血圧症という病気を見分けるためにも必要な検査です。
その他の検査:
遺伝子検査がメイン・クーンやラグドールでは可能です。
甲状腺ホルモンの測定が8歳以上の子は甲状腺機能亢進症を見分けるために必要です。
心臓バイオマーカー(NT-ProBNPなど)を測定することで心臓の筋肉の障害を数値で見る
事ができます。
・治療
無症状の場合:
心拍数が速く(1分間に240回以上)なったり、全身に血液を送る通り道の障害(左室流出
路障害)や不整脈がある場合は心拍数を下げるお薬を使います。
症状がある場合:
心臓にうっ血がおこり、肺に水が貯まることで呼吸が苦しくなっている場合は利尿剤や血
管拡張剤(ACEI)を使います。
さらに重度になり左側の上の部屋が大きくなり血の塊ができる可能性がある場合は血小板
機能抑制薬や抗血栓薬(血を固まりにくくするお薬)を使用します。
血の塊が動脈に詰まってしまった場合:
命に関わる状態です。
痛みをとり血の流れを再開させるため、鎮痛剤や血栓溶解剤を使います。






